Asteria Dental
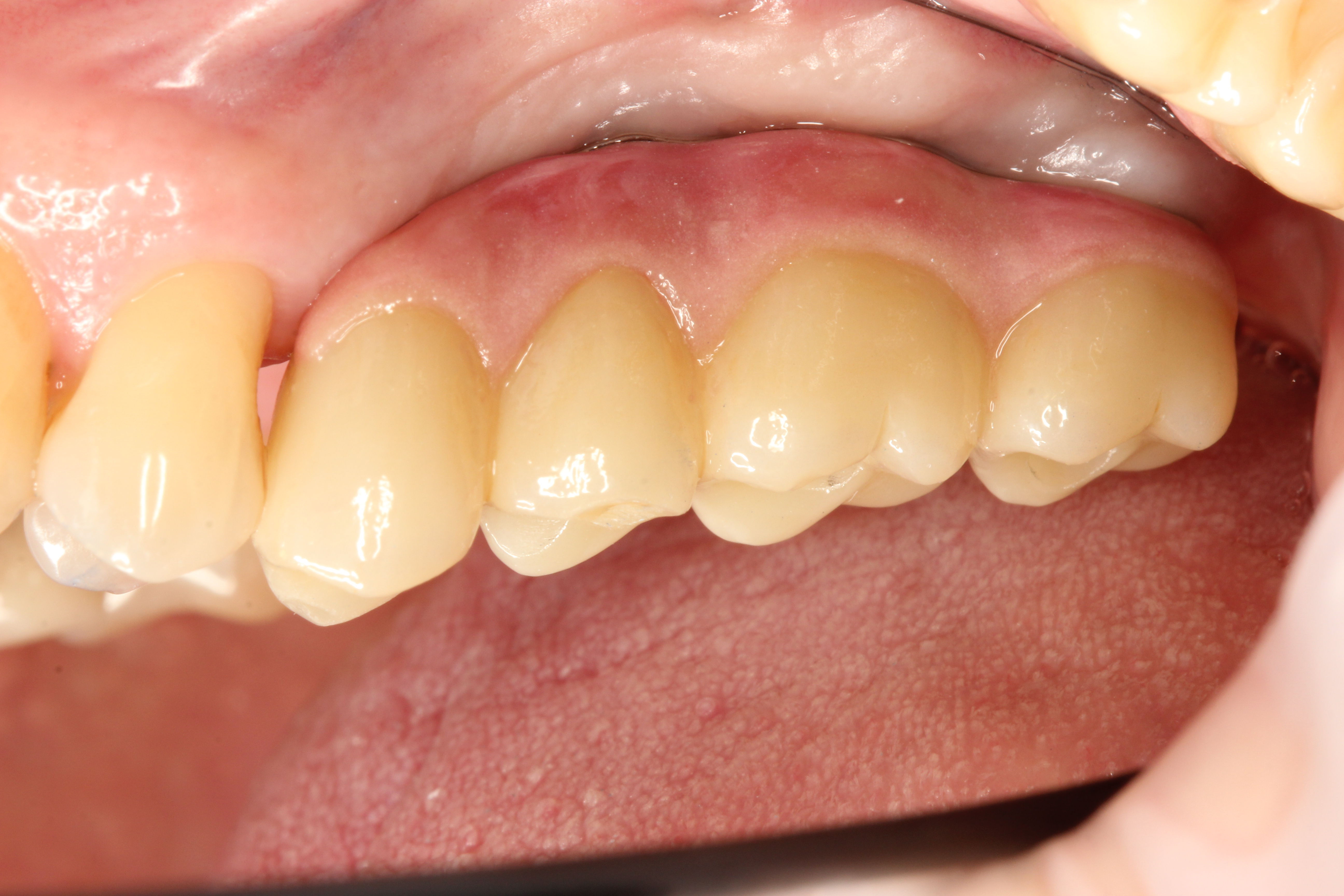
Циркониевая коронка в Asteria Dental

Цирконий, который
не отличить от своего зуба

Точная цифровая работа под увеличением. От 30 000 ₽. Готовая коронка — за 7–10 дней.

10+
лет клиника
×4.5
под увеличением
7—10
дней под ключ
15+
лет ресурс
Работа под оптическими лупами в Asteria Dental
Точность
Работа под оптическими лупами ×4.5
Доверяют пациенты
4.9 Продокторов
5.0 Яндекс.Карты
4.8 2ГИС
Revolution St. 18, Пермь
Два сценария

Два пути — одна технология

Выбираем сценарий после осмотра и 3D‑снимка. Решение — индивидуально, по показаниям.

Коронка на свой зуб
На свой зуб

Циркониевая коронка

от
25 000 ₽
  • Разрушен после лечения каналов
  • Замена старой металлокерамики
  • Сохранён корень, возможно препарирование
Подробнее про сценарий
Циркониевая коронка на имплант
На имплант

Циркониевая коронка

от
30 000 ₽
  • Отсутствующий зуб после имплантации
  • Мост на 2–6 имплантах
  • Индивидуальные абатменты под протокол
Подробнее про сценарий
Материал

Почему именно цирконий

Диоксид циркония — современный выбор для эстетичного и прочного протезирования.

Эстетика

Полупрозрачность как у эмали. Без серой линии у десны.

Прочность

Выдерживает жевательную нагрузку, не скалывается.

Точность посадки

Цифровой слепок — без щелей на границе с зубом.

Без аллергий

Биосовместимый материал. Не вызывает реакций десны.

Долговечность

Ресурс 15+ лет при регулярной гигиене.

Процесс

Как проходит лечение

7–10 дней от первого визита до готовой коронки
Консультация
01 ─ КОНСУЛЬТАЦИЯ

3D-снимок и план

Осмотр, диагностика, расчёт сроков и стоимости под ключ.

Диагностика
02 ─ АНАЛИЗ

Цифровое планирование

Анализ КТ и моделирование будущей коронки до начала работ.

Препарирование под увеличением
03 ─ ПРЕПАРИРОВАНИЕ

Под увеличением

Минимально-инвазивное препарирование под оптическими лупами.

Слепок и изготовление
04 ─ СЛЕПОК

Цифровой и фрезеровка

Сканируем без слюны и гипса. Фрезеруем на ЧПУ‑станке.

Примерка и фиксация
05 ─ ФИКСАЦИЯ

Примерка и установка

Проверяем посадку, оттенок и прикус. Фиксируем на цемент.

Если нужна дополнительная подготовка

По показаниям, после диагностики

Десна

Десневая пластика

Контур десны под эстетичное протезирование.

Кость

Костная пластика

При недостатке объёма кости для имплантата.

Импланты

Мультиюниты

Индивидуальные абатменты под протокол протезирования.

Стоимость

Честная цена, без сюрпризов

Диапазоны ниже — ориентир. Финальная стоимость — после консультации и 3D‑снимка.

Коронка на свой зуб
от 30 000
диапазон 30 000 — 40 000 ₽
Препарирование под увеличением
Цифровой слепок
Изготовление и фиксация коронки
Контрольный визит через 7 дней
Записаться на консультацию
Сниженная цена от 25 000 ₽ при замене одной коронки
Коронка на имплант
от 30 000
коронка; абатмент — по протоколу
Подбор абатмента под прикус
Циркониевая коронка в цвет ряду
Готовность к жевательной нагрузке
Контрольный визит через 7 дней
Записаться на консультацию
Окончательная стоимость определяется на консультации
Почему Asteria

То, что мы делаем иначе

10+

Лет клинической практики

Системная работа с одним врачом — без текучки кадров и перекладывания плана лечения.

×4.5

Оптическое увеличение

Лупы и LED‑свет на каждом этапе — минимальная инвазия, ровные границы препарирования.

100%

Цифровые слепки

Без слюны, гипса и повторных визитов. Точность посадки коронки на уровне 20 мкм.

Современные протоколы

Европейские стандарты препарирования, фиксации и контроля прикуса.

1:1

Индивидуальная стерилизация

Упаковка на каждый инструмент. Контроль класса B.

3–5

Курсов в год

Непрерывное обучение. Протоколы обновляются каждый сезон.

Ярошенко М.А. — врач-стоматолог Asteria Dental
Ваш врач

Ярошенко М.А.

Врач - стоматолог, высшая категория

  • 10 лет клинической практики

    Ортопедия, протезирование, реставрация.

  • Работа под увеличением

    Оптические лупы ×4.5 с LED-подсветкой.

  • Специализация — цирконий

    Протезирование коронками из диоксида циркония.

Протезирование — это не про «быстро и дёшево». Это про прогнозируемый результат на 15+ лет.

— Ярошенко М.А.
Записаться на приём
Работы

Реальные конструкции

Без стоковых улыбок. Только фото из нашей клиники.

Мост на 4 имплантах — цирконий
Кейс 01

Мост на 4 имплантах

Восстановление жевательной группы. Срок: 9 дней.

Одиночная коронка — естественный вид
Кейс 02

Одиночная коронка

Естественный оттенок и прозрачность. Срок: 7 дней.

Мультиюниты перед протезированием
Кейс 03

Подготовка к мосту

Мультиюниты под индивидуальный протокол фиксации.

Вопросы

Частые вопросы

Если ответа не нашли — напишите, разберём на консультации.

Задать свой вопрос
Сколько служит циркониевая коронка?

В большинстве случаев — 15+ лет при регулярной гигиене и плановых осмотрах. Цирконий устойчив к сколам и потере цвета.

Заметно ли, что это не свой зуб?

При правильном подборе оттенка и формы визуально не отличить. Цирконий имеет полупрозрачность как у эмали — свет проходит через коронку естественно.

Болезненно ли препарирование?

Работа проводится под местной анестезией. Под увеличением снимается минимальный объём ткани — только то, что нужно под коронку.

Чем отличается коронка на зубе и на импланте?

На свой зуб — препарирование корня и фиксация на цемент. На имплант — через абатмент на винт. Материал коронки одинаковый, процедура установки разная.

От чего зависит итоговая цена?

От сценария (зуб/имплант), необходимости дополнительных процедур (десневая или костная пластика, мультиюниты), количества коронок и сложности случая. Финал — после осмотра и 3D-снимка.

Можно ли заменить старую металлокерамику?

Да. Старая коронка аккуратно снимается, состояние зуба оценивается, при необходимости делается подготовка — далее стандартный протокол.

Что, если коронка потрескается?

Цирконий крайне редко трескается. Если это произошло в течение гарантийного срока при нормальной эксплуатации — заменяем бесплатно.

Как ухаживать за коронкой?

Как за обычным зубом: ежедневная чистка, флосс, профессиональная гигиена 1–2 раза в год. Специальных паст не требуется.

Консультация

Запишитесь
на консультацию

Осмотр, план лечения и честная стоимость. Без давления и скидочных сценариев.

Телефон
+7 (342) 202-00-10
Адрес
Революции 18, Пермь
Режим
Пн–Сб · 9:00–20:00

Перезвоним в течение 30 минут в рабочее время